Cancer: "Primitive" Gene Discovered

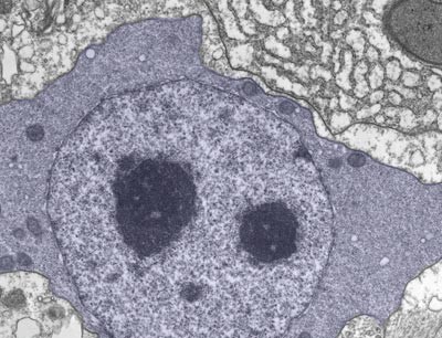
Ultrastruktur einer Stammzelle des frühen Vielzellers Hydra.
Ultrastruktur einer Stammzelle des frühen Vielzellers Hydra.
To find the causes for cancer, biochemists and developmental biologists at the University of Innsbruck retraced the function of an important human cancer gene 600 million years back in time. For the first time, they have identified the oncogene myc in a fresh water polyp and they have shown that this oncogene has similar biochemical functions in ancestral metazoan and in humans. The myc gene plays an important role in the growth of organisms. It produces a protein that acts as a gene regulator, which controls the expression of up to 15 % of all human genes. This means that it controls whether these genes are activated or deactivated. A deregulation of the myc gene leads to uncontrolled cell proliferation and to cancer; a deregulated myc gene occurs in about 30 % of all human cancers. "To get a better understanding of the deregulation process caused by the oncogene, we would have to know which genes are regulated by myc and which of these are important for cancers", says Klaus Bister from the Institute of Biochemistry at the University of Innsbruck.
account creation

UM DIESEN ARTIKEL ZU LESEN, ERSTELLEN SIE IHR KONTO

Und verlängern Sie Ihre Lektüre, kostenlos und unverbindlich.



Ihre Vorteile

  • Zugang zu allen Inhalten
  • Erhalten Sie Newsmails für Neuigkeiten und Jobs
  • Anzeigen veröffentlichen

myScience