wire - short news
Physik
Ergebnisse 101 - 150 von 745.
Astronomie & Weltraum - Physik - 04.09.2024

Meilenstein erreicht: METIS und MICADO bestehen Designprüfung Zwei Instrumente für das künftig größte optische Teleskop der Welt, das Extremely Large Telescope der Europäischen Südsternwarte in Chile, haben die abschließende Designprüfung bestanden und damit einen wichtigen Meilenstein erreicht.
Gesundheit - Physik - 04.09.2024
Fünf Millionen Euro für zwei JKU Forschungsprojekte
Die Österreichische Forschungsförderungsgesellschaft (FFG) hat jeweils 2,5 Millionen Euro für zwei Forschungsprojekte der JKU bewilligt.
Veranstaltung - Physik - 03.09.2024

Astronomie & Weltraum - Physik - 27.08.2024

Das ISTA begrüßt Ilaria Caiazzo, neue Assistenzprofessorin und Expertin für stellare Entwicklung Ein Stern mit zwei Gesichtern. Ein Stern, der die Masse der Sonne und die Kompaktheit des Mondes vereint. Sternüberreste, die ganze Planeten verschlingen und ihre Umlaufbahnen beeinflussen. Ilaria Caiazzo ist für atemberaubende Entdeckungen bekannt.
Physik - Elektrotechnik - 21.08.2024
Talk Science to Me #34: Was sind Attosekunden?
Gesundheit - Physik - 21.06.2024
FWF-START-Preis für Senka Holzer von der Med Uni Graz
Mathematik - Physik - 20.06.2024

Gesundheit - Physik - 19.06.2024

Seit 2021 werden im JKU medSPACE lehrreiche und faszinierende Einblicke in den menschlichen Körper gezeigt.
Materialwissenschaft - Physik - 28.05.2024

Anna Galler ist gerade mit einer Elise Richter Fellowship an die TU Graz gewechselt. Hier untersucht die Forscherin 2D-Materialien.
Biowissenschaften - Physik - 17.05.2024
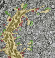
Philipp Velicky mit Scientific Milestone Award of the 2024 Wilhelm Exner Lectures ausgezeichnet
Erstautor Philipp Velicky, Leiter der Imaging Core Facilities der MedUni Wien, wurde von der Wilhelm Exner Medaillen Stiftung für die Präsentation einer innovativen Methode zur Darstellung von Hirngewebe bei den diesjährigen Exner Lectures mit dem ,,Scientific Milestone Award 2024" ausgezeichnet.
Veranstaltung - Physik - 10.05.2024
Die Lange Nacht der Forschung an der Universität Wien
Universität Wien bietet über 100 Stationen an vier Standorten Die Universität Wien ist mit über 100 Stationen an vier Standorten bei der Langen Nacht der Forschung am 24. Mai 2024 mit dabei.
Physik - 06.05.2024

Am 6. Mai wurded auf dem Gelände der Uni Graz die Ausstellung ,,Eine andere Dimension" eröffnet - direkt vor dem Info-Container zum ,,Graz Center of Physics" (GCP).
Physik - Campus - 23.04.2024

Physik - Veranstaltung - 22.04.2024

Wirtschaft - Physik - 16.04.2024

Gesundheit - Physik - 12.04.2024

Physik - 12.04.2024

Physik - Materialwissenschaft - 09.04.2024

Neue Assistenzprofessorin am ISTA verbindet ultraschnelle Physik und Quantenmechanik Das Institute of Science and Technology Austria (ISTA) gewinnt mit der neuen Assistenzprofessorin Denitsa Baykusheva eine Spezialistin für ultraschnelle Laserspektroskopie.
Informatik - Physik - 09.04.2024

Ein Hybrid-System aus Quantencomputer und klassischem Hochleistungs-Computer soll nun in Österreich entstehen - ein wegweisendes Projekt sowohl für die Physik als auch für die Informatik.
Physik - 09.04.2024

Von ,,Spukhafter Fernwirkung" bis ,,Schrödingers Katze", die zugleich tot und lebendig ist - Quantenphysik klingt so rätselhaft, wie sie auch ist.
Physik - 08.04.2024

Physik - 05.04.2024

Biowissenschaften - Physik - 01.04.2024

Biowissenschaften - Physik - 27.03.2024

Mit Florian Praetorius begrüßt das Institute of Science and Technology Austria (ISTA) einen neuen Assistenzprofessor.
Umwelt - Physik - 19.03.2024

Physik - 18.03.2024

Wichtige Daten, etwa eine Bitcoin-Wallet-Adresse, lassen sich mit 3D-Drucker und Terahertz-Strahlen recht einfach in gewöhnliches Plastik einspeichern und verbergen, zeigt die TU Wien.
Physik - Pharmakologie - 13.03.2024

Wie kommt eigentlich das Medikament zum Krankheitsort? Kaum jemandem ist bewusst, dass dies kein ganz einfaches Unterfangen ist.
Astronomie & Weltraum - Physik - 07.03.2024

ISTA: Das James-Webb-Weltraumteleskop entdeckt kleine Giganten im fernen Universum Gleich im ersten Jahr seines Einsatzes machte das James-Webb-Weltraumteleskop eine unerwartete Entdeckung: Viele kle
Veranstaltung - Physik - 04.03.2024

Physik - Umwelt - 04.03.2024

Eine neue KI-Technologie der JKU erlaubt Videoaufnahmen von verdeckten Objekten, die nun in bisher ungekannter Detailtreue abgebildet werden können.
Gesundheit - Physik - 08.02.2024
Theoretische Physik für die Herzgefäßchirurgie
Physiker Sascha Ranftl möchte mit Computersimulationen und Maschinellem Lernen im Vorhinein abklären, ob Operationen am offenen Herzen notwendig sind.
Materialwissenschaft - Physik - 31.01.2024

Der Physiker Fabian Garmroudi spricht im Interview über seine Forschung, aber auch darüber, was ihn Überhaupt zu seinem Studium gebracht hat, was ihm daran gefallen hat, was nicht, und wie sein Alltag als Forscher aussieht.
Chemie - Physik - 30.01.2024
Erich Knözinger (1939-2023): Ein Nachruf
Physik - Veranstaltung - 25.01.2024

Gesundheit - Physik - 25.01.2024
Jordi Heijman ist neuer Professor für Medizinische Physik und Biophysik
Physik - Veranstaltung - 25.01.2024

Physik - Informatik - 22.01.2024

Physik - Biowissenschaften - 12.01.2024

Veranstaltung - Physik - 12.01.2024

Biowissenschaften - Physik - 11.01.2024

Forscher:innen entschlüsseln Struktur und Funktion wichtiger hemmender Synapsen im Kleinhirn Ob es darum geht, einen kleinen Gegenstand wie einen Stift aufzuheben oder verschiedene Körperteile zu koo
Physik - Elektrotechnik - 09.01.2024
Antrittsvorlesungen: Neue Professor*innen der TNF stellten sich vor
Materialwissenschaft - Physik - 27.12.2023

Physik - Materialwissenschaft - 21.12.2023

Bin Feng, Hector Prats Garcia und Maksim Savchenko erhalten eine ESPRIT-Förderung, mit der sie spannende Projekte an der TU Wien umsetzen werden.
Physik - Karriere - 20.12.2023

Das hochkomplexe Wechselspiel von Quantentheorie und Informationsverarbeitung nimmt die Physikerin Elizabeth Agudelo unter die Lupe.
Physik - Campus - 20.12.2023

Doktorand:innen am Institute of Science and Technology Austria (ISTA) können gezielt ihren Interessen nachgehen und dabei sogar von gleich zwei Professor:innen bei ihrem Dissertationsprojekt betreut werden.
Veranstaltung - Physik - 20.12.2023
Kolloquium zu den Nobelpreisen 2023
Physik - Mathematik - 11.12.2023
FWF-Förderungen für die TU Wien
Der Österreichische Wissenschaftsfond FWF bewilligt große SFB-Forschungsprojekte und ermöglicht neue Doktoratsstellen - die TU Wien war bei diesem Call sehr erfolgreich.
Physik - Campus - 07.12.2023

Veranstaltung - Physik - 07.12.2023

Physik - Mathematik - 06.12.2023

Mathematiker Nathanael Berestycki und Physiker Oliver Heckl von der Universität Wien koordinieren die Forschungsbereiche Der Wissenschaftsfond (FWF) fördert insgesamt drei neue Spezialforschungsbereiche, zwei davon entfallen auf die Universität Wien, am dritten ist die Uni Wien beteiligt.
Innovation - 18.3
Erfolgreicher Abschluss des Josef Ressel Zentrums DeSoS: 5 Jahre Forschung im Systems Engineering
Erfolgreicher Abschluss des Josef Ressel Zentrums DeSoS: 5 Jahre Forschung im Systems Engineering

Innovation - 18.3
Fünf Jahre Spitzenforschung für verlässliche Systeme: Josef Ressel Zentrum erfolgreich abgeschlossen
Fünf Jahre Spitzenforschung für verlässliche Systeme: Josef Ressel Zentrum erfolgreich abgeschlossen

Geschichte & Archeologie - 18.3
Der Körper des Kaisers: Identität der sterblichen Überreste aus dem Sarkophag Ottos des Großen bestätigt
Der Körper des Kaisers: Identität der sterblichen Überreste aus dem Sarkophag Ottos des Großen bestätigt


